
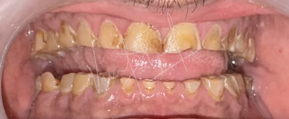
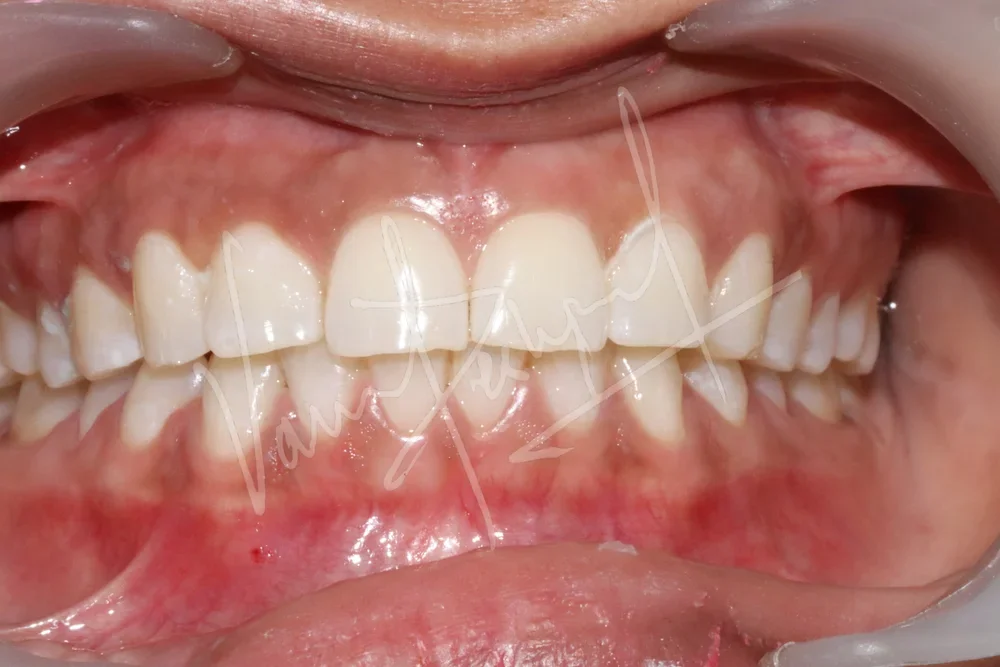
Dental Implants vs. Bridges: What's the Best Choice for Missing Teeth?
Choosing between a Bridge and an Implant? We dive deep into the differences regarding bone preservation, cost-effectiveness, and longevity to help you make the right choice in Solapur
Read Blog








